360 E 7th Street, Suite N, Upland, CA 91786

(949) 506-4692

360 E 7th Street, Suite N, Upland, CA 91786

(949) 506-4692

Cone Beam CBCT Scan

This equipment is essential to be able to make a proper Diagnosis for Dental Revisions (a process in which potentially toxic material and teeth are removed and replaced with biocompatible materials specific to each patient's individual immune system).

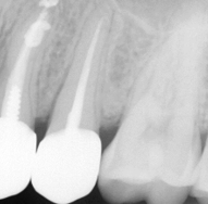
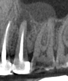
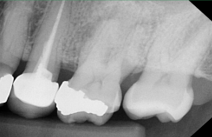
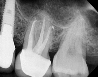
CBCT Scans provide a 3D dental image, while traditional X-rays are only a 2-dimensional picture of the mouth. This means that with traditional X-rays alone, it is very difficult to diagnose non-painful lesions like dental abscesses that are within the jaw bone.

Here are some examples of photos of bone lesions

Patient “A ”Xray of a root canal tooth #14 CBCT Scan of same tooth #14, notice the lesion on the bone at the tip of the left root Notice root canal #13 on xrays CBCT Scan on same tooth #13, there is a lesion at the tip of the root causing sinus membrane inflammation. Patient “C” xray tooth #14 Patient “C” CBCT Scan tooth #14, bone lesion affects both roots. Upland Lighthouse Dentistry, a renowned family dentist in Upland, offers cone beam CBCT scan technology for comprehensive dental care. Our expert dentist utilize this advanced 3D imaging technique to obtain precise details of dental structures, soft tissues, and nerve paths, enhancing our diagnostic accuracy and treatment planning. Contact Upland Lighthouse Dentistry today!