360 E 7th Street, Suite N, Upland, CA 91786

(949) 506-4692

360 E 7th Street, Suite N, Upland, CA 91786

(949) 506-4692

Laser Treatments

We use the PerioLase MVP-7, a free-running variable pulsed ND: YAG. There are several lasers in one that can be utilized for different treatments.

At upland Lighthouse Dentistry, we use it mainly for: • LANAP (Laser Assisted New Attachment Procedure). Treatment of moderate to severe gum disease.

NOW WE ARE ABLE TO SAVE TEETH!!

Do you know how nowadays you can have eye surgery done with a laser instead of a scalpel? Lasers are more precise than scalpels, and we don't even need to use sutures, so the postoperative pain is close to nothing and manageable with anti-inflammatories.

This procedure is known as LANAP, and it has been FDA-cleared to create "true periodontal regeneration." What does that mean? With this laser procedure, we are able to create an environment where your gums can reattach to the teeth, and your body will be able to create new bone where there was once bone loss. This is in contrast to removing dead tissue and bone like it is done in traditional gum surgery.

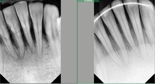
This technique is minimally invasive with faster recovery. Don't take my word for it. Look at the following pictures, and remember, there is no bone graft done; this is the patient's own body healing and creating one. Let's see one of my patient's cases.

A 30-year-old male comes to the Office with severe gum disease. His lower teeth were moving, and the X-rays showed severe bone loss; the usual proposed treatment is extraction and replacement with partial dentures. The teeth were so mobile that an ortho retainer was needed(as a cast) post-LANAP protocol to give a chance to the newly formed bonnet to break with the mobility when chewing.

We did LANAP a year ago, and this is the X-ray of the same lower front teeth on February 13, 20025. Look at the photo after; there has been true bone regeneration. HE NO LONGER NEEDS EXTRACTION OR DENTURES!!!!



Red light therapy/Photobiomodulation: There is a setting in which the light will promote the formation of ATP (energy) in the mitochondria of the cell, reducing inflammation and promoting collagen formation and healing. We use it after tooth extraction; patients have noticed a big difference in reducing postoperative pain.

Perio Laser Disinfection: In those cases where there is no advanced periodontal disease but gums are not healing with just regular cleanings, we don't want the disease to advance more. This, in conjunction with Ozone water irrigation, has given us great results.

To learn more about our laser treatment services, contact Upland Lighthouse Dentistry today!